症例Report
『膝蓋骨外方脱臼』
:2022. 1. 27
:阿部
症例
膝蓋骨外方脱臼 トイプードル 1歳齢 雌
稟告
3ヶ月程前から両側後肢跛行。他院にて消炎鎮痛剤投与するが改善が見られず、当院に来院。
身体検査
両側後肢の外反が強く認められた。
左右膝蓋骨外方脱臼(グレードⅢ)と内方脱臼も認め、両後肢膝蓋骨不安定症であった。
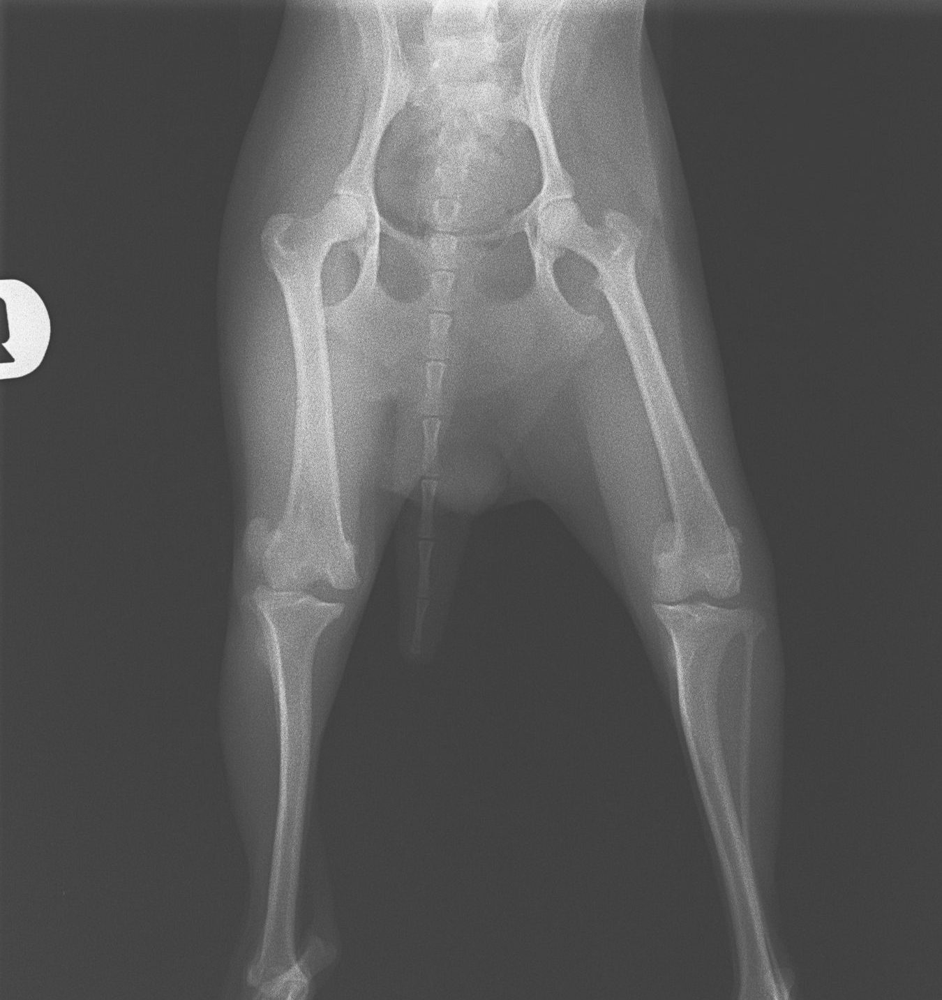
レントゲン検査

手術前
右膝蓋骨の外方脱臼、膝関節腔の傾斜が認められる。

手術後
膝蓋骨は正常位に収まり、関節腔の傾斜も認められない。
手術
膝蓋骨を滑車溝内に保持するために、ブロック法による滑車溝形成、関節外法(ラテラルスーチャー法)、内側関節包の縫縮を行なった。
今回は症状の強い右後肢の手術を行なった。

滑車溝の形成術
術後経過
術後1ヶ月、右後肢は脱臼も無く経過は良好です。
左後肢の跛行はあり近日中に手術予定です。
まとめ
膝蓋骨外方脱臼は膝蓋骨が外側に脱臼することであり多くの場合は両側に起こります。
全ての犬種で内方脱臼の方が多く見られますが、外方脱臼に関しては小型犬よりも大型犬の方が発生率は高いです。
外科的治療の必要があるかどうかは、臨床症状、経過、犬種、年齢、体重、その他併発疾患(特に前十字靭帯断裂)の有無により決定し、
複数の術式を組み合わせてその子に最も適した方法で行います。
手術適応でなかった場合も、安静や薬物療法(消炎鎮痛薬やサプリメント等)、体重管理(関節の負担軽減)、環境の配慮(滑らない床にする)などが必要になります。
本症例は外方脱臼だけでなく内方にも脱臼する膝蓋骨不安定症でしたが、外方の脱臼が強かったため手術を行い、膝蓋骨の安定が得られました。



