症例Report
『ハリネズミの子宮疾患』
:2022. 5. 24
:豊島
症例
子宮疾患 ハリネズミ メス 3歳5ヶ月齢
稟告
来院前日に血尿がみられたとのことで来院。一般状態は良好。
初診時検査所見
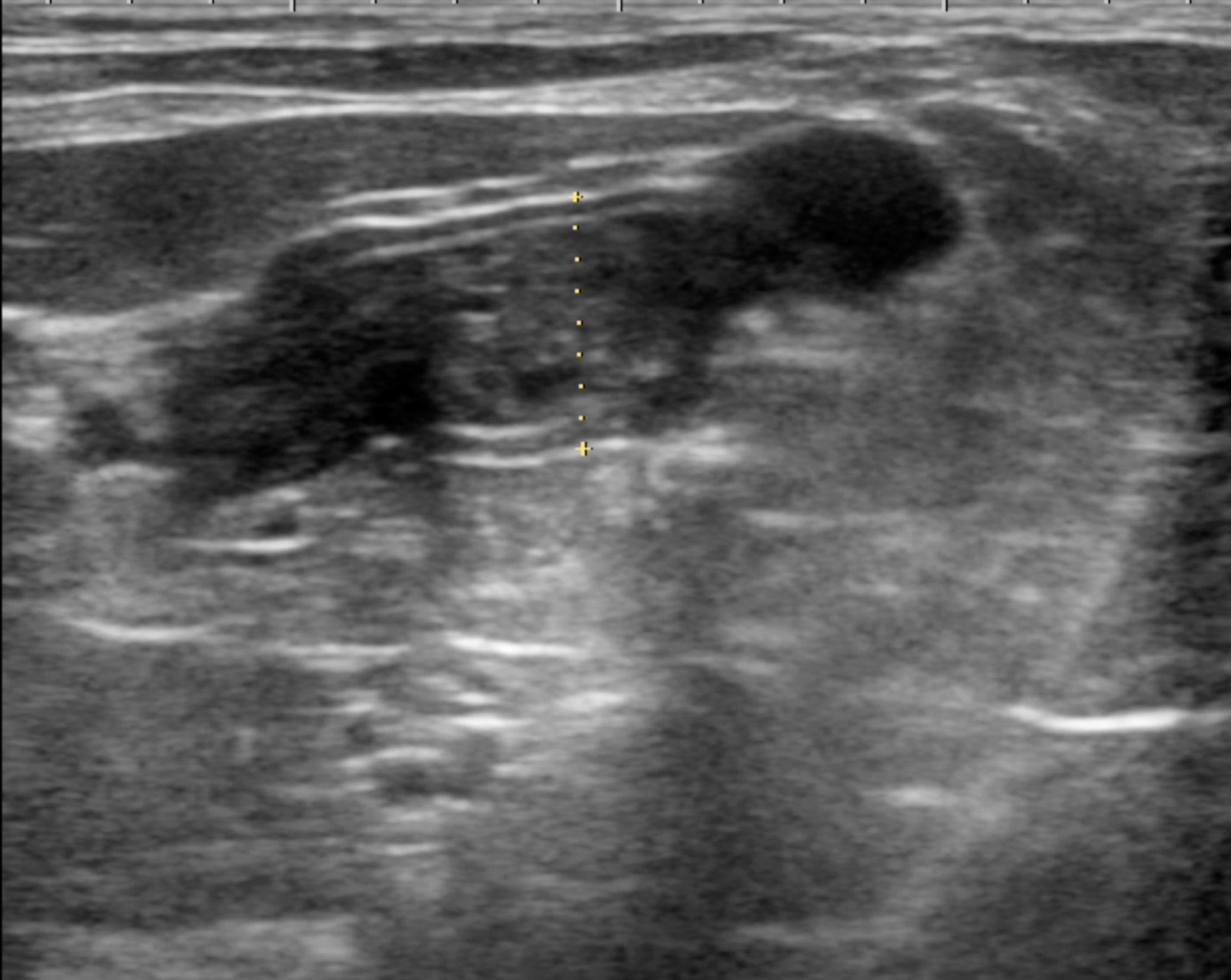
視診上、外傷などは認められず著変なし。超音波検査では子宮の軽度腫大が認められた。
子宮の縦断面
治療経過
子宮内膜炎や膀胱炎疑いで抗菌薬の経口投与を行なったが、それ以降も時折尿に血が混じるという症状が認められた。また子宮の腫大は変化がみられなかったので、子宮由来の出血を疑い、避妊手術を行うこととなった。
手術
常法通り、避妊手術(子宮・卵巣摘出術)を実施した。肉眼的に子宮全体の腫大が認められた。

摘出した子宮・卵巣(腹側面)
術後経過
病理組織学的検査で「子宮内膜ポリープ」と診断された。手術以降、血尿は認められていない。
まとめ
ハリネズミの生殖器疾患で最もみられるものは、子宮疾患であり血尿や陰部からの出血を主訴で受診されることが多い。ハリネズミの子宮は結節性病変が形成されることが比較的多く、その中でも内膜ポリープ、間質腫瘍の発生が多い。本例でも組織所見において子宮内腔で複数の結節性病変(ポリープ)が観察され、結節内で出血が認められたこと、避妊手術後に血尿は認められないことから、出血は子宮が原因だったことが考えられる。子宮の出血は突然、大出血がみられることもある為、早めの対処が望ましいと思われる。



